Bandscheiben Op Lws 4 5
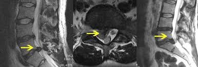
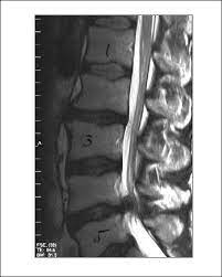
Bandscheiben op lws 4 5. Sie kommen meist zwischen den Wirbeln LWK Lendenwirbelkörper 45 und LWK 5SWK 1 Sakralwirbelkörper vor an der vorletzten und letzten Bandscheibe. Bandscheibenvorfälle sind Teil einer natürlichen Abnützung des Gewebes. Drückt der Gallertkern auf einen Rückenmarksnerven leiden Betroffene unter starken Rückenschmerzen die teilweise bis in Arme und Beine ausstrahlen.
Ich bin inzwischen auch soweit das ich erstmal die Alternativen ausprobieren möchte anstatt gleich eine OP. Sie verlaufen oft unerkannt oder verursachen nur vorübergehend Beschwerden. In der Regel verschwinden die Schmerzen zwar nach der OP es kann aber immer sein dass sich Symptome nicht zurückbilden.
Bandscheiben Op Lws Indikation Ablauf Nachbehandlung. Genauer heißt die OP laut Bericht. Aus diesem Grund zählt die Bandscheiben-OP zu den häufigsten Eingriffen.
3053 Beiträge ø047Tag Hallo vor 1 Woche hatte ich eine große Bandscheiben-OP. Diese 8 Übungen für zuhause helfen Ihnen nach einem Bandscheibenvorfall an der Lendenwirbelsäule LWS den Heilungsprozess schonend zu unterstützen. Lumbaler Bandscheibenvorfall Neurochirurgie Wirbelsaulenchirurgie Koln Siegburg.
Mehr zu den Ursachen erfahren Sie hier. Tell Klinik Bandscheibenvorfall An Der Lendenwirbelsaule. Ich habe am 07092016 eine Bandscheiben-OP gehabt um den Vorfall im Bereich LWS 45 zu entfernen.
Auch durch Vernarbungen nach der OP kann es zu Schmerzen oder Einschränkungen der Bewegung kommen. Merkblatt zur Nachbehandlung Operation an der Lendenwirbelsäule 1 4 Merkblatt zur Nachbehandlung Operation an der Lendenwirbelsäule Sehr geehrter Patientin Was Sie wissen sollten Sie leiden an einer degenerativen Erkrankung einer oder mehrerer lumbaler Bandscheiben Bandscheibenvorfall Spinalkanalstenose Wirbelgleiten. Nach einem Bandscheibenvorfall gilt es gezielt die Muskulatur im betroffenen Bereich zu stärken.
Ursachen Diagnose und Therapie. Wie der Bandscheiben-Vorfall Prolaps ist die Bandscheiben-Vorwölbung Protrusion besonders häufig in der Etage bei L4L5 zwischen dem 4.
Genauer heißt die OP laut Bericht.
Wenn die Physiotherapie und Medikamente nicht mehr helfen und die Schmerzen zu stark sind oder wenn der Druck auf die Nerven Ausfälle verursacht Taubheit Muskelschwäche Lähmung sollte eine Operation in Betracht gezogen werden. Bandscheibenvorfall LWS Übungen - Hier findest du 5 effektive Übungen bei einem Bandscheibenvorfall in der Lendenwirbelsäule inkl. Es geht mir zur Zeit nicht gut mache mir auch große Sorgen wie es wird in den nächsten Tagen und Wochen mit den Schmerzen und Beschwerden. Ich wurde am 4. Frank aus München in. Probieren Sie es selbst aus. Sie kommen meist zwischen den Wirbeln LWK Lendenwirbelkörper 45 und LWK 5SWK 1 Sakralwirbelkörper vor an der vorletzten und letzten Bandscheibe. Die Bandscheiben der Wirbelsäule übt eine Art Stossdämpferfunktion aus und dient der Elastizität und der Beweglichkeit der Wirbelsäule. Lendenwirbel und dem 5.
Die Bandscheibenvorfälle an der Lendenwirbelsäule sind die häufigsten Bandscheibenvorfälle an der Wirbelsäule. In der Regel verschwinden die Schmerzen zwar nach der OP es kann aber immer sein dass sich Symptome nicht zurückbilden. Wenn die Physiotherapie und Medikamente nicht mehr helfen und die Schmerzen zu stark sind oder wenn der Druck auf die Nerven Ausfälle verursacht Taubheit Muskelschwäche Lähmung sollte eine Operation in Betracht gezogen werden. 3053 Beiträge ø047Tag Hallo vor 1 Woche hatte ich eine große Bandscheiben-OP. Wie der Bandscheiben-Vorfall Prolaps ist die Bandscheiben-Vorwölbung Protrusion besonders häufig in der Etage bei L4L5 zwischen dem 4. Bandscheibenvorfall 4-5 Lendenwirbel Hey S-A2011 danke für Deine Erzählung. Alleine in Deutschland werden jährlich ungefähr 150000 Bandscheibenvorfälle operativ behandelt.


Post a Comment for "Bandscheiben Op Lws 4 5"