How Long Does The Implant Take To Heal
How long does the implant take to heal. The answer depends on the type of procedure selected as well as individual healing factors but heres a general sense of the dental implant timeline. You may have to wait six weeks before your dentist can attach the. It can be up to 6 months before your implant is stable enough to attach the crown.
But how long do dental implants last are they really permanent. By then the tooth implant will have already fused with the implant metal. Also bone graft healing can stretch over a few months.
It takes about two weeks to heal from the abutment procedure. Breast implants generally take 6 weeks to 3 months to adjust and look natural. One of the most common questions we get from patients is how long will it take for breast implants to fall into place after surgery.
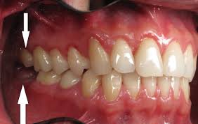
The abutment is what connects the titanium implant to your dental crown the visible part of the tooth replacement system. The implant itself will fuse naturally with the bone taking anywhere from three to nine months again depending on your individual ability to heal. Some patients feel really good if they have been struggling with breast implant illness but if there is perhaps another underlying condition that is just developing they can feel that the symptoms will return after a.
It is good to be aware that breast implant removal will take several weeks to heal. The contraceptive implant Nexplanon is a small flexible plastic rod thats placed under the skin in your upper arm by a doctor or nurse. Read on to learn more.
Implants take between 3 and 6 months to heal A temporary tooth may be inserted While waiting for dental implants to heal you will want to avoid foods that might put pressure on the implant. However it can take longer all depending on what was involved with your dental implant surgery such as bone grafts etc. It takes about an average of six to eight months for dental implants to fully heal to the point where you can resume your daily routine without assistance.
Breast augmentation recovery usually takes 6 to 8 weeks. It releases the hormone progestogen into your bloodstream to prevent pregnancy and lasts for 3 years.
The answer depends on the type of procedure selected as well as individual healing factors but heres a general sense of the dental implant timeline.
It depends on a few factors. The gum tissue should also heal within a week. Altogether dental implant healing time before crown can take about a year on average. One of the reasons people choose to get mini dental implants over regular implants is the fact that the recovery time is not as long. In most cases it can take up to a year for all the tissues to fully heal following your surgery and you can expect to experience swelling and fluctuation in your breast size and shape even after your surgical incisions have fully healed. Your dentist will monitor your implant and let you know when the osseointegration is complete. After the surgery there will be some swelling but the swelling should subside within 48 hours. It will either go directly onto the implant or onto another piece called an abutment which is positioned between the implant and the dental crown. By then the tooth implant will have already fused with the implant metal.
On average the total estimated treatment time for an All-on-4 dental implants procedure is 6-8 months. It releases the hormone progestogen into your bloodstream to prevent pregnancy and lasts for 3 years. Post-implant surgery healing osseointegration can take about 3 to 6 months. It might be longer if you develop complications like an infection or implant leak. It is good to be aware that breast implant removal will take several weeks to heal. Breast augmentation recovery usually takes 6 to 8 weeks. Implants take between 3 and 6 months to heal A temporary tooth may be inserted While waiting for dental implants to heal you will want to avoid foods that might put pressure on the implant.




Post a Comment for "How Long Does The Implant Take To Heal"