Was Kann Man Gegen Karies Tun
Was kann man gegen karies tun. Karies können Sie am besten vorbeugen indem Sie Ihre Zähne regelmäßig und gründlich putzen sowie säure- und zuckerhaltige Nahrungsmittel vermeiden. Was tun gegen karies. Wenn der Zahn schon ein großes Loch hat oder die Karies sehr tief ist helfen Zahnfüllungen.
Durch eine mangelhafte Mundhygiene. Das nennen wir Zahnärzte Remineralisation. Karies selbst behandeln und entfernen - Hausmittel anwenden Salz ist ein bewährtes Hausmittel gegen Karies.
Zuckerhaltige Speisen und Getränke nur in Maßen regelmäßiges Zähneputzen Verwendung von fluoridhaltiger Zahnpasta Zahnseide sowie Interdentalbürsten regelmäßige Kontrollen beim Zahnarzt professionelle Zahnreinigung PZR Verwendung von Fluoridlack Fluoridgelen oder -lösungen Welche Krankheit verursacht meine Beschwerden. Hat sich das Salz. Karies entsteht erst wenn sich bestimmte Bakterien im Mundraum ansiedeln und stark verbreiten.
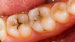
Wie entsteht Karies und was kann ich dagegen tun. Bei kleinen Löchern kann er den infizierten Zahn versiegeln oder infiltrieren. Sie können versuchen ob Sie die Karies selbst entfernen können.
Gewöhnen Sie sich an nicht zu hastig zu putzen und die Zähne mindestens 2 am besten 3 Minuten zu reinigen. Was kann man gegen stinkende Haare tun. Außerdem ist Weizengras eine hochkonzentrierte Quelle der Vitamine A und E sowie Mineralien wie Eisen Kalzium und Magnesium die für gesunde und starke Zähne unerlässlich sind.
In der Nahrung sind Bakterien. Karies-Behandlung mit Ozon Häufig wird inzwischen Ozon eingesetzt um das Fortschreiten einer beginnenden Karies zu verhindern. Regelmäßige Zahnzwischenraumpflege Zum gründlichen Zähneputzen gehört auch die Pflege und Reinigung der.
Der beste Schutz gegen Karies bei Kindern ist diese Übertragung zu vermeiden. Unser Speichel kann Karies heilen.
Gewöhnen Sie sich an nicht zu hastig zu putzen und die Zähne mindestens 2 am besten 3 Minuten zu reinigen.
Der beste Schutz gegen Karies bei Kindern ist diese Übertragung zu vermeiden. Eine fluoridhaltige Zahnpasta gegen Karies und eine elektrische Zahnbürste. Putzen Sie zumindest 2 Mal am Tag konsequent- am besten immer morgens und einmal abends vor dem zu Bett gehen. Der Zahnarzt versucht zuerst mittels präventiver Verfahren das Fortschreiten des Karies verhindern. Videos you watch may be added to the TVs watch history and influence TV. Was kann man gegen stinkende Haare tun. Eigentlich kann unser Speichel eine beginnende Demineralisierung wieder reparieren. Regelmäßiges Putzen und Fluorid können sogar dabei helfen dass Karies sich zurückbildet. Wie entsteht Karies und was kann ich dagegen tun.
Was kann man gegen stinkende Haare tun. Der Zahnschmelz kann sich selbst heilen indem er Mineralien aus dem Speichel und das Fluorid aus der Zahnpasta oder anderen Quellen dafür nutzt. Was tun gegen karies. Regelmäßiges Putzen und Fluorid können sogar dabei helfen dass Karies sich zurückbildet. Schnuller Flaschen und Besteck bitte nicht ablutschen. 10 Maßnahmen gegen Karies Gründlich und regelmäßig putzen Karies entsteht ua. Wasch zuerst mit einem Reinigungsshampoo zum Entfernen sämtlicher Stylingrückstände zum Beispiel Swiss-o-Par Rossmann oder dm deine Haare und hinterher nochmal mit deinem normalen Shampoo.



Post a Comment for "Was Kann Man Gegen Karies Tun"