Wie äußert Sich Ein Gehirntumor
Wie äußert sich ein gehirntumor. Viele Tiere müssen oft auch starke körperliche Strapazen ertragen. Andere Symptome Die Liste der Anzeichen für einen Hirntumor bei Katzen ist lang. Wie auffällig bei einer Hirnblutung die Anzeichen sind kann ganz unterschiedlich sein.
In manchen Fällen treten keine Kopfschmerzen auf. Erfahren Sie mehr darüber wodurch eine Aphasie ausgelöst werden kann wie sie. Weitere Anzeichen für einen Hirntumor.
Weitere mögliche Symptome für einen Hirntumor können Schwindel und eine allmähliche Veränderung des Wesens bzw. Der Charakter und die Intensität des Schmerzes werden als neu empfunden. Forscher aus Großbritannien haben 39.
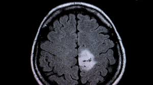
Der Tumor verdrängt oder zerstört also Hirngewebe und verursacht nicht nur lokal Ausfallerscheinungen sondern lässt auch den Druck im Schädelinneren ansteigen. Die Aphasie ist eine erworbene Sprachstörung. Von den vielen gutartigen benignen und oft heilbaren Tumoren.
Wie äußert sich ein Hirntumor. Aphasiker können sich schlecht ausdrücken und oft nur schwer verstehen was andere sagen. Epileptiforme Anfälle Krampfanfälle Kopfschmerzen äußern sich in Berührungs- oder Licht-Empfindlichkeit.
Auch eine allgemeine Beeinträchtigung des Sehvermögens oder ein plötzlicher Totalausfall der Sehkraft kann ein Hinweis auf einen Tumor sein. Betroffen sind Menschen in jedem Alter wobei ältere Erwachsene häufiger als Jüngere erkranken. Im Vordergrund stehen auch dabei Kopfschmerzen mit eventuell auftretendem Schwindel Übelkeit und Erbrechen.
Auch bei Krampfanfällen kann der Arzt manchmal auf den Ort des Hirntumors schließen. Eine Aphasie entsteht durch die Schädigung bestimmter Hirnareale etwa durch einen Schlaganfall ein Hirntrauma oder einen Gehirntumor.
Weitere mögliche Symptome für einen Hirntumor können Schwindel und eine allmähliche Veränderung des Wesens bzw.
Epileptiforme Anfälle Krampfanfälle Kopfschmerzen äußern sich in Berührungs- oder Licht-Empfindlichkeit. Der Charakter und die Intensität des Schmerzes werden als neu empfunden. Ferner könnte eine steigende Vergesslichkeit Sprachstörungen und Gangstörungen für einen Tumor im Gehirn sprechen. Ein Hirntumor bei Hunden macht sich aber nicht nur durch Wesensveränderungen bemerkbar. Wie äußert sich ein Hirntumor. Ähnliche Symptome können auch bei folgenden Erkrankungen auftreten. Ist zum Beispiel der linke Arm des Betroffenen gelähmt befindet sich der Hirntumor vermutlich in der rechten Hirnhälfte. Auch bei Krampfanfällen kann der Arzt manchmal auf den Ort des Hirntumors schließen. Forscher aus Großbritannien haben 39.
Hierzu zählen zum Beispiel auch epileptiforme Anfälle oder Krampfanfälle. Von den vielen gutartigen benignen und oft heilbaren Tumoren. Das Problematische an Hirntumoren ist dass sie egal ob gut- oder bösartig in einer Körperregion wachsen die sich nicht nach außen ausdehnen kann. Wie äußert sich ein Hirntumor. Auch bei Krampfanfällen kann der Arzt manchmal auf den Ort des Hirntumors schließen. Hierzu zählen zum Beispiel auch epileptiforme Anfälle oder Krampfanfälle. Ein Hirntumor äußert sich oftmals auch durch psychische Veränderungen die auf keine bestimmte Ursache zurückzuführen sind.


Post a Comment for "Wie äußert Sich Ein Gehirntumor"